Taylored team

Dental Implants Serving Menston

For residents of Menston, Taylored Dental Care provides dental implant options designed to restore smiles naturally and comfortably. Every treatment is carefully planned and delivered with gentle, reassuring care, helping patients feel relaxed while achieving reliable, natural-looking results that support confidence daily.

Dental Implants: a Thoughtful, Reliable Solution

Dental implants offer a stable, long-term solution for missing teeth. With a natural look and the ability to function like real teeth, they make eating and speaking simpler while maintaining comfort, allowing you to enjoy everyday life with confidence, improved function, and renewed oral ease.

Natural Appearance

Enhanced Comfort

Durability and Longevity

Prevention of Bone Loss

Improved Oral Health

Restored Speech

We ONLY Use the World's Leading Dental Implants

Recognised Quality Implants You Can Trust

Save £600 on Your Treatment
With Our Free Contribution

FREE

Consultation
(Value £150)

We plan your consultation thoroughly, ensuring a clear explanation of every option to replace missing teeth.
FREE

Review Appointment
(Value £55)

We include follow-up visits, and closely track healing and progress, making each stage of your implant treatment stress-free.
FREE

3D Scan
(Value £99)

When proceeding with treatment, the complete cost of your 3D scan (up to £99) will be deducted.
FREE

Night Guard
(Value £150)

If appropriate, we provide a free night guard to protect both your dental implants and nearby teeth.

Reliable Implants, Delivered With Care

We recognise that missing teeth can reduce your self-confidence.
We provide dental implants — secure, durable replacements that protect your natural teeth. Gently positioned in the jaw with a focus on patient comfort, these dental implants help restore eating, speaking, and smiling naturally, offering lasting confidence and avoiding the challenges associated with removable alternatives.
Protects Remaining Teeth
Long Lasting Treatment
High Success Rate
Chew & Smile Confidently

Dental Implants Designed for Lasting Reliability

Proudly trusted by Menston residents
Premium Implants Only

Lasting Reliability With Gentle Care

The success and smooth execution of your dental implant surgery often depend on the materials chosen. That’s why we use high-quality dental implants and grafts that meet stringent clinical standards for safety and lasting results.
EXCLUSIVELY using reputable dental implant brands, we provide implants known for their strength and ease of care, protecting your investment and offering reliable, long-term dental solutions you can trust.
Smile Without the Wait

Same-Day Dental Implants Serving Menston

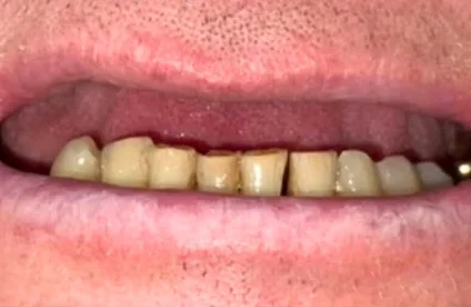
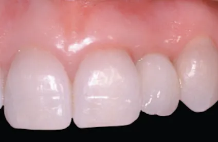
Healing after dental implant placement usually takes around three months as the implant integrates securely with your jawbone. With our careful approach, same-day smile restoration in Menston may be possible, helping you eat, speak, and smile comfortably while feeling supported and reassured throughout every stage of your recovery.
before-after
No More Slipping Dentures

All-On-4 Dental Implants Serving Menston

The All-On-4 dental implant technique provides residents of Menston with a full set of fixed teeth in just one day. Four carefully positioned dental implants support the entire arch, helping you eat, speak, and smile comfortably straight away. As healing continues, the dental implants integrate naturally with the jawbone, creating dependable stability and a secure, natural-looking smile designed for lasting comfort and confidence.
Forget dentures and experience a gentle, seamless transition. All-On-4 dental implants help restore comfort and functionality swiftly, offering durable, long-lasting results that enhance your everyday confidence and oral performance.
Avoid Bone Grafting

Short Dental Implants Serving Menston

When there is insufficient jawbone for traditional dental implants, bone grafting is often recommended, though it can add time and cost. To help avoid this, we offer Bicon SHORT® Implants serving Menston, designed specifically for areas where bone is limited, and grafting might otherwise be required, providing a reliable, comfortable alternative.
Short dental implants simplify the surgical procedure, requiring smaller incisions and less drilling. This often allows faster healing and less discomfort. They provide a reliable, cost-effective solution, helping patients enjoy the benefits of dental implants without the delays or complications of bone grafting.

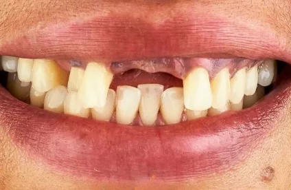
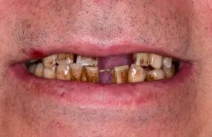
Examples of Implant Treatments

Before
After
Before
After
Before
After
Before
After
Interest-Free Monthly Plans

Spread the Cost with 0% Financing in Menston

Worried about the cost of dental implants? We offer 0% interest payment plans, letting you spread treatment into manageable monthly instalments. You don’t need to delay care — our team will guide you through your options, helping you restore your smile confidently, comfortably, and without financial pressure.
Taylored team
Meet Dr Carl Taylor

Dr Carl Taylor

GDC: 80685
BCHD University of Leeds 2002

Dr Carl Taylor

Dr Carl Taylor qualified from the University of Leeds in 2002 and has over 20 years’ experience in dentistry. During seven years working in the NHS, he saw first-hand how dental anxiety can prevent people from seeking treatment, particularly when more complex care, such as dental implants are involved.

That experience shaped his approach to patient care and led to the creation of a practice designed to help patients feel calm, informed and in control throughout their treatment.

Experience You Can Trust

Dental implant treatment allows no shortcuts. Every procedure needs thorough planning, clear explanations, and the right clinical approach throughout, ensuring predictable, safe, and effective results from the beginning to the end of treatment.
At Taylored Dental Care, our dental implant team ensures each patient receives treatment that is safe, carefully planned, and tailored to individual needs. If you are considering dental implants, you can feel confident that your care is managed by a team with extensive experience and a genuine focus on keeping you comfortable, supported, and fully informed throughout every stage of your treatment.
Dr Carl Taylor

Dental Implants – A Long-Term Solution

Talking to patients every day, I see that missing teeth can do more than change your smile. They can affect eating, speaking, and your self-esteem, altering how you feel about yourself in both daily life and social situations.
Dental implants provide a secure, long-lasting solution that looks and works like natural teeth. Every procedure we carry out is carefully planned to restore comfort, confidence, and everyday function, not just appearance. For patients who feel anxious, dental sedation can be used to help you stay calm and relaxed, ensuring your dental implant treatment is as comfortable and reassuring as possible throughout.

Personalised Implant Care

Opting for dental implants is a major decision, and you deserve to feel fully informed and supported throughout. From your first consultation to the conclusion of treatment, a dedicated dental implant coordinator will guide you, respond to queries, explain every step, and maintain continuity of care. You will never feel pressured, and you’ll always understand what comes next, giving reassurance and confidence during your dental implant journey.

Support for Nervous Patients

Anxiety about dental treatment is widespread, especially when considering dental implants. Many patients I meet feel uncertain, nervous, or worried about coping. For eligible patients, conscious IV sedation is available, allowing you to stay awake yet deeply relaxed and comfortable during treatment. We care for hundreds of nervous and dental-phobic patients annually, so you are not alone. Confidence often grows slowly, which is entirely normal – we work at a pace that feels right for each patient.
If you’re unsure or anxious about dental implants, I recommend speaking to my team. We’re here to guide you through your options in a relaxed, supportive, and completely unpressured way that prioritises your comfort and confidence.
Smile Restoration With Gentle Care and Comfort
Feeling Apprehensive?

Dental Implants for Nervous Patients in Menston

At Taylored Dental Care, we regularly provide consultations and treatments to patients from Shipley, Baildon, Thackley, Menston, Guiseley, and Yeadon at our practice located in Idle, Bradford.

Frequently Asked Questions (FAQs)

1. How do dental implants replace missing teeth?
Dental implants provide a natural, long-lasting solution for replacing missing teeth. A titanium post is carefully positioned within the jaw to function like a natural tooth root, and the procedure is completed in a calm, comfortable setting. As healing progresses, the dental implant integrates with the surrounding bone, forming secure support for a crown, bridge, or denture. This method helps preserve bite strength and facial structure while restoring a natural-looking smile and everyday confidence.
If you are generally healthy yet have lost teeth through decay, trauma, or other causes, dental implants could be a suitable choice. Key factors include adequate bone to hold the dental implant securely, healthy gums, and no major health conditions affecting healing. Non-smokers frequently experience improved success rates. A careful assessment will determine whether dental implants are appropriate, and even if bone loss has occurred, procedures such as grafting can help provide the support needed to restore your smile confidently and comfortably.
Everyone experiences discomfort differently, yet most patients find it very mild and easier to manage than anticipated. The treatment area is gently numbed with local anaesthetic to keep the procedure comfortable. Afterwards, any slight soreness can usually be managed with simple pain relief, while our team provides clear aftercare guidance to support a calm recovery and answer questions.
Dental implants function and feel like natural teeth, letting you eat, speak, and smile with ease. They protect against bone loss and avoid putting pressure on neighbouring teeth like some bridges do. Dental implants also help maintain facial structure, supporting confidence and comfort. They offer a stable, long-lasting solution for patients seeking to restore oral health effectively.
Dental implant treatment times vary for each patient. Temporary teeth can sometimes be placed immediately, but the complete process often takes several months. Bone healing, dental implant stability, and your desired smile all influence timing. During your consultation, we’ll evaluate your oral health and provide a personalised timeline designed to achieve the best results for your smile and function.
With today’s dental techniques, going without teeth during dental implant treatment is uncommon. Temporary prosthetics or teeth are usually placed straight after surgery, helping maintain speech, comfort, and appearance. In certain situations, permanent teeth can be fitted the same day. Each treatment is tailored to the individual. At Taylored Dental Care, we carefully assess your suitability for immediate teeth options and create a personalised plan to achieve the best results for your smile and function.
Dental implants are extremely durable, often lasting over 15 years and sometimes a lifetime with proper care. Their long-term success depends on excellent oral hygiene, regular dental check-ups, and avoiding habits like smoking. Following these practices protects your investment, ensuring your dental implants remain comfortable, functional, and natural-looking for many years.
Following dental implant surgery, it’s vital to continue caring for your teeth and gums. Brush and floss as usual, and visit your hygienist regularly. Routine dental check-ups allow for thorough cleaning and monitoring of gum health. These practices help protect your dental implants, maintain their function, and extend their lifespan while supporting your overall oral health and comfort.

Hear From Our Patients

Read what our patients are saying about us on Google Reviews.

Book Your Free Consultation

Completely Without Obligation
Speak with us today. Your first consultation is free and may include X-rays if needed. A team member from Taylored Dental Care will be in touch shortly. We’ve proudly cared for the Menston community for many years, providing calm, supportive dental care.
Scroll to Top
Taylored Dental Care Idle place picture
4.9
Based on 179 reviews
powered by Google
Emily Plastow profile picture
Emily Plastow
18:23 25 Nov 25
I hadn't been to the dentist in a very long time. I came to Taylored Dental after hearing positive experiences from a family member who has been with them for some time.
I needed quite a lot of work doing which I was apprehensive about but Kat was amazing. She was so patient and explained everything to me as she was doing it. I felt completely at ease and wondered why I hadn't visited sooner!
At my final appointment from my treatment plan, they presented me with some gorgeous flowers which was such a lovely touch.
Dare I say, I'm looking forward to my check up in 6 months!
Thank you Taylored Dental 🤍
Gino Ginetti profile picture
Gino Ginetti
10:47 12 Nov 25
I suffer from severe anxiety, so going anywhere is very stressful. Everyone did their best to make me feel at ease. My new full set of dentures are spot on. A smile with natural looking teeth. Thank you for your professional, caring service. Thank you.
Georgina Horsewood x
Judith Barstow profile picture
Judith Barstow
15:58 11 Nov 25
This review is a little delayed (February 2021)as I did not realise I could leave it via Google! ( I’m not on FB) I have been with TDC for years now since they took over from my previous dentist. Last year I decided to have whitening and composite veneers on my two front teeth. I cannot say enough about how great they are! Haider was brilliant and my teeth look so natural lots of people have not even noticed! Of course I have also had ‘usual’ treatments too including root canal work. All the staff and of course Haider were so friendly and kind- no pain and carried out very professionally. I cannot recommend this practice highly enough. 😊
Lynne Clegg profile picture
Lynne Clegg
14:11 05 Nov 25
Friendly and professional service from the outset! No pain and everything fully explained. Thank you. Would highly recommend.
Josh Myers profile picture
Josh Myers
14:47 08 Oct 25
Had my appointment after not being for atleast 5 years. I had Kat take a look and give me a clean and fix my cap for my chipped tooth. The service was great and the job was done really well! Left happy and feeling great 😃
Stephen Jackson profile picture
Stephen Jackson
15:55 07 Oct 25
Always receive good, professional service and treatment here. Great customer care. Very pleased.
Brad Webster profile picture
Brad Webster
08:23 17 Sep 25
Philbert Henderson profile picture
Philbert Henderson
14:57 01 Sep 25
As always pleasant as can be for a trip to the dentist for someone as anxious as me. Felt at ease. Thank you
See All Reviews
Taylored Dental Care Wibsey place picture
4.9
Based on 127 reviews
powered by Google
Craig Richards profile picture
Craig Richards
15:28 16 Dec 25
Absolutely fantastic dentist. I would recommend anyone who hasnt got a dentist or needs to change this is the one people need to go to I mean everyone in there are so lovely and friendly and so caring for their patients simply the best 👌 👍
julie hughes profile picture
julie hughes
11:59 27 Nov 25
EXCELLENT SERVICE. LOVELY GENUINE FRIENDLY PEOPLE. MAKE YOU FEEL VERY CALM AND COMFORTABLE AND EXPLAIN EVERYTHING THROUGHOUT YOUR TREATMENT. I HIGHLY RECOMMEND TAYLORED DENTAL.
Steven Bamford profile picture
Steven Bamford
14:01 24 Nov 25
Started treatment here a good few months ago , after over 30 years of fear of the dentists which bordered on phobia . Top class treatment administered by top class people , everyone from reception through to dental nurse and Dr.Rosina Cutler . Never thought that I could ever get through the treatment , but the care taken by them all has been second to none . I would highly recommend Taylored Dental Care , especially if you might be a nervous patient. Many thanks to you all .
allan jones profile picture
allan jones
21:23 20 Nov 25
dfsills1952 profile picture
dfsills1952
13:06 19 Nov 25
Perfect painless extraction
Wonderful Dentist and staff
Steve Hollingworth profile picture
Steve Hollingworth
13:28 04 Nov 25
Rosina and all the staff are very professional and go out of their way to make sure your at ease throughout the treatment - I would highly recommend this practice.
Adrian Kiely profile picture
Adrian Kiely
12:37 07 Apr 25
Where visits to the dentist are concerned I am extremely nervous. In the past this has meant I have avoided any kind of dental care which obviously isn’t good. Having seen adverts for Taylored Dental Care in Wibsey Bradford, and the promise of treating patients sympathetically, I made an appointment. I’ve been going now for a number of years and can say that I’ve had the best experience. All the staff are incredibly caring, trustworthy and listen to and manage my anxieties and concerns. Unbelievably to me, I’m in a position now where I don’t have any worries or anxiety before my appointments. My dentist is the lovely Rosina and I have also had care from Charlotte Helliwell. Both are great and all the staff (reception, assistants) are fantastic. I’m posting this in the hope that it will help someone who has the same anxiety for the dentist that I used to have. If you do, I strongly recommend that you use Taylored Dental Care.
See All Reviews
Taylored Dental Care Keighley place picture
4.8
Based on 186 reviews
powered by Google
Jeanette Denby profile picture
Jeanette Denby
18:31 15 Dec 25
Oh my goodness what a fantastic experience. I needed an emergency appointment for a really decayed and infected wisdom tooth,not been to a dentist in about 10yrs as I am petrified after a lot of bad experiences.
I was beyond terrified, crying making the appointment and again in the waiting room , really embarrassed and ashamed in the state of my teeth but the dentist (Roy) was amazing and more importantly I literally didn't feel a thing,didn't even have the sedation,( chose this dentist for that reason) to be honest I'm a little lost for words. So thank you so much AMAZING
Kevin Payne profile picture
Kevin Payne
11:32 27 Nov 25
I needed some extractions and I needed dentures, Taylored dentists, took me along the procedure from the start to completion. Tony removed my old teeth and Mathew made the dentures and moulded and shaped them to fit perfectly. Anyone, thinking of getting any work done, couldn't, ask for better help and reassurance than Taylored dentists in Keighley. Totally painless and satisfaction guaranteed.
Karen Slingsby profile picture
Karen Slingsby
12:16 25 Nov 25
I can’t rate Taylored Dental Care highly enough. I decided to join the new practice in Keighley after leaving a private practice in Leeds. Fed up of travelling a long distance to a city centre dentist with no parking.
So firstly the new practice is conveniently located with parking.
But wait until you enter! You will be welcomed by a very friendly and professional team in very smart plush modern environment like a 5 star hotel 🌟
Charlotte looked after me beautifully and assisted me in signing up for my new private dental plan. Then I was seen and examined by dentist Roy who could not have been nicer. Roy was friendly and explained all the new patient dental examination procedures to me.
I have never experienced such amazing kind and informative patient care in either a dentist or a hospital before.
I will be recommending Taylored Dental Care in Keighley to all of my friends.
Karen Slingsby
25.11.25
stephen feather profile picture
stephen feather
18:14 12 Nov 25
I had a Brilliant procedure today! after feeling nervous regarding a root filling which was a 3hr procedure I slept for most of it, couldn’t believe how pain free it was !! Thanks Graham, top job will definitely be back to you guys for my next treatment.
john ward profile picture
john ward
16:24 22 Oct 25
Excellent experience from an Emergency appointment. Very welcoming and put me at ease Straightaway. I highly recommend the Taylored team ....thank you
Lisa Carter profile picture
Lisa Carter
15:28 02 Oct 25
I have recently only joined Taylored Dental Care after being unhappy with my previous dentist and it was the best move I have made. Unfortunately I needed a tooth removing and I was extremely nervous as I do not do very well with anything surgical. I really didn't need to worry as Graham and his team did a fantastic job from start to finish, I didn't feel a thing, even the needle didn't bother me which was a first. The friendliness of the staff at this practice is fantastic and very welcome after previous encounters with other dentists that I have had. If you are thinking of trying them out or changing to Taylored Dental then my advice would be to do it at your earliest opportunity. I should have done it months ago!!
See All Reviews