Idle 01274 611 834

Keighley 01535 603 009 

Wibsey 01274 729 369 

Scroll to Top
Taylored Dental Care Idle place picture
4.9
Based on 179 reviews
powered by Google
Emily Plastow profile picture
Emily Plastow
18:23 25 Nov 25
I hadn't been to the dentist in a very long time. I came to Taylored Dental after hearing positive experiences from a family member who has been with them for some time.
I needed quite a lot of work doing which I was apprehensive about but Kat was amazing. She was so patient and explained everything to me as she was doing it. I felt completely at ease and wondered why I hadn't visited sooner!
At my final appointment from my treatment plan, they presented me with some gorgeous flowers which was such a lovely touch.
Dare I say, I'm looking forward to my check up in 6 months!
Thank you Taylored Dental 🤍
Gino Ginetti profile picture
Gino Ginetti
10:47 12 Nov 25
I suffer from severe anxiety, so going anywhere is very stressful. Everyone did their best to make me feel at ease. My new full set of dentures are spot on. A smile with natural looking teeth. Thank you for your professional, caring service. Thank you.
Georgina Horsewood x
Judith Barstow profile picture
Judith Barstow
15:58 11 Nov 25
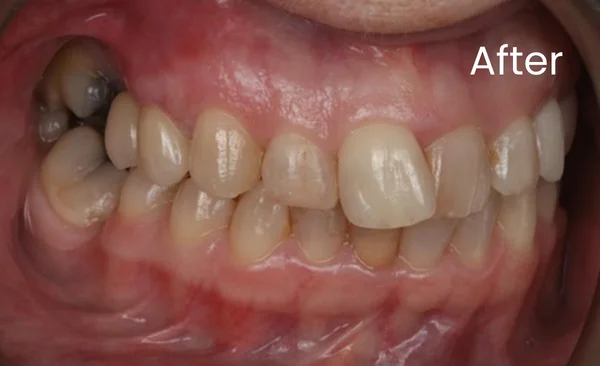
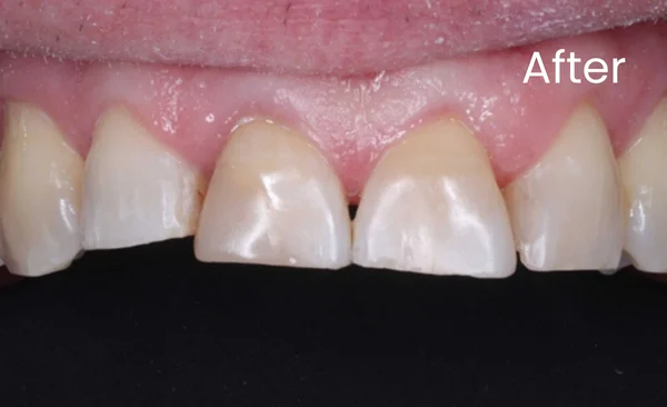
This review is a little delayed (February 2021)as I did not realise I could leave it via Google! ( I’m not on FB) I have been with TDC for years now since they took over from my previous dentist. Last year I decided to have whitening and composite veneers on my two front teeth. I cannot say enough about how great they are! Haider was brilliant and my teeth look so natural lots of people have not even noticed! Of course I have also had ‘usual’ treatments too including root canal work. All the staff and of course Haider were so friendly and kind- no pain and carried out very professionally. I cannot recommend this practice highly enough. 😊
Lynne Clegg profile picture
Lynne Clegg
14:11 05 Nov 25
Friendly and professional service from the outset! No pain and everything fully explained. Thank you. Would highly recommend.
Josh Myers profile picture
Josh Myers
14:47 08 Oct 25
Had my appointment after not being for atleast 5 years. I had Kat take a look and give me a clean and fix my cap for my chipped tooth. The service was great and the job was done really well! Left happy and feeling great 😃
Stephen Jackson profile picture
Stephen Jackson
15:55 07 Oct 25
Always receive good, professional service and treatment here. Great customer care. Very pleased.
Brad Webster profile picture
Brad Webster
08:23 17 Sep 25
Philbert Henderson profile picture
Philbert Henderson
14:57 01 Sep 25
As always pleasant as can be for a trip to the dentist for someone as anxious as me. Felt at ease. Thank you
See All Reviews